Jan. 6, 2025
Journal Club: Small-bore vs Large-bore Chest Tube for Hemothorax

The player is loading ...

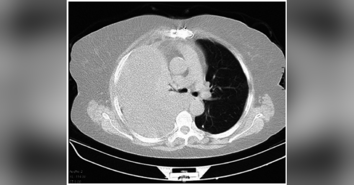
In this episode of Journal Club, Dr. Hassaballa discusses the recent study comparing small-bore to large-bore chest tubes for hemothorax drainage.






